蚊香液是当今生活中常用的驱虫剂,有效驱蚊成分主要为拟除虫菊酯类农药,具有高效、低毒、价廉等特点,目前被家庭、社交等场所广泛应用,随着应用场景的增多,拟除虫菊酯类农药暴露机会也随之增多,特别是儿童。拟除虫菊酯类杀虫剂暴露可对人体神经系统、免疫系统等造成损伤,且无特效解毒剂[1],给临床医师治疗带来巨大挑战。四氟苯菊酯属于拟除虫菊酯类农药,误服主要成分为四氟苯菊酯的蚊香液引起中毒病例少有报道,本文报道1例误服蚊香液有效成份为四氟苯菊酯的儿童,出现神经损伤、心脏损伤、肺损伤等多脏器损害情况,经积极治疗后临床中毒症状缓解,总结诊疗过程报道如下。
1 病例资料患者男,1岁4个月,于2022年5月30日发现误服蚊香液约15 mL(有效成分四氟苯菊酯,含量0.9%),出现咳嗽症状,到本院急诊,1 h后患者出现惊厥发作1次,表现为口吐泡沫、抽泣样呼吸、肢体抖动、呼之不应,给予地西泮2.5 mg肌注镇静,抽搐持续时间约1 min缓解,30 min后再次出现惊厥发作1次,表现同前,予10%水合氯醛灌肠6 mL镇静处理后惊厥缓解,后收入院。
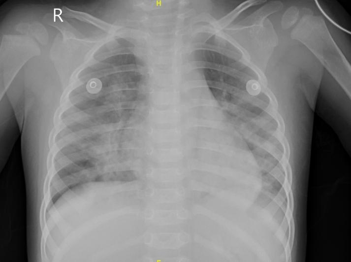
查体:体重13 kg,体温36.9 ℃,心率160次/min,呼吸频率45次/min,血压103/62 mmHg(1 mmHg=0.133 kPa),经皮血氧饱和度95%;镇静状态,双侧瞳孔等大等圆,直径3 mm,对光反应稍迟钝;呼吸急促,伴有喉中发声,双肺呼吸音粗,可闻及粗湿啰音;心律齐,心音有力,腹软,肝脾肋下未及双巴氏征阳性。辅助检查:血常规示白细胞3.86×109/L,红细胞4.62×1012/L,血红蛋白113 g/L,中性粒细胞比率52.8%,淋巴细胞比率41.2%,血小板225×109/L,C-反应蛋白52.1 mg/L,降钙素原13.72 ng/mL,胆碱酯酶5 739 U/L。血气分析示酸碱度7.26,二氧化碳分压46.3 mmHg,氧分压89.6 mmHg,乳酸1.6 mmol/L,碳酸氢根19.2 mmol/L,碱剩余6.4 mmol/L;血生化示:丙氨酸氨基转移酶18.7 U/L,天门冬氨酸氨基转移酶60.7 U/L,肌酐27.2 µmol/L,肌酸激酶165 U/L,肌酸激酶同工酶5.17 ng/mL,肌钙蛋白T 0.052 ng/mL,N端-B型钠尿肽前体149.2 pg/mL,神经元特异性烯醇化酶33.36 ng/mL,白介素-6 153.5 pg/mL,血钙2.03 mmol/L,血钾3.79 mmol/L,血钠136.5 mmol/L,血糖6.85 mmol/L。床边胸片示双肺纹理增多模糊、可见斑片状影(图 1);心电图、心脏彩超未见异常;脑脊液常规检测未见异常。血液、尿液标本行毒物筛查结果显示血液中四氟苯菊酯浓度为20 ng/mL,尿中监测到四氟苯菊酯;视频脑电图示背景活动异常,双侧后头部为主3-5Hz中-高波幅混合慢波活动,夹杂多量低波幅快波,左右大致对称。
|
| 图 1 患者入院当天床边胸片 |
|
|
患者入院后给予洗胃,洗出少量暗红色液体,伴间断恶心,禁食留置胃管。伴间断发热,最高39 ℃,呼吸急促,阵发性咳嗽,肺部闻及粗湿啰音,血气分析提示低氧血症,面罩吸氧(5 L/min)状态下血氧饱和度维持不佳,改为持续气道正压通气(continuous positive airway pressure, CPAP)无创呼吸机辅助通气,结合相关辅助检查,考虑肺部感染,给予哌拉西林他唑巴坦1.125 g静滴每8 h一次(Q8H),14 d后停用;氨溴索注射液7.5 mg静滴Q12H,14 d后停用;布地奈德混悬液1 mg联合硫酸特布他林2.5 mg雾化吸入Q6H治疗,12 d后减量为Q12H,14 d后停用;应用20%甘露醇注射液40 mL静滴Q8H,3 d后减量为Q12H,4 d后减量为QD,6 d后停用;甲泼尼龙26 mg静滴QD,5 d后停用;奥美拉唑10 mg静滴QD,3 d后停用,磷酸肌酸钠0.5 g静滴QD,12 d后停用;余对症支持治疗。经治疗未再惊厥发作,住院第2天恶心好转,经口喂养可耐受,CPAP辅助呼吸4 d后停用,呼吸急促症状好转,自主呼吸状态下血氧饱和度监测正常;住院第8天复查视频脑电图未见异常;住院第10天体温正常,咳嗽好转,肺部CT提示双肺多发斑片状密度增高影,边缘模糊,段及段以上支气管通畅(图 2A)。住院15 d临床症状恢复出院。出院后2周复诊,患者已无临床症状,复查肺部CT提示双肺支气管血管束增粗伴透光度欠均,小斑片影及索条影较前好转(图 2B)。
|
| 注:A为患者病程第10天,B为患者病程第30天 图 2 患者胸部CT影像学变化 |
|
|
拟除虫菊酯类杀虫剂是一类广泛使用的合成杀虫剂,主要作用机制是干扰昆虫的神经传导,导致昆虫神经系统正常钠离子通道功能被破坏,从而达到杀虫的效果,神经毒性是拟除虫菊酯类杀虫剂最显著的生物活性特征之一。拟除虫菊酯类杀虫剂对人类的毒性相对较低,但过量接触或摄入可对人体健康产生显著影响,其毒性机制主要涉及离子通道、氧化应激、炎症、神经元细胞丢失和线粒体功能障碍等[2-3]。四氟苯菊酯是一种人工合成用于家庭卫生杀虫的拟除虫菊酯类杀虫剂,对人体和环境的毒性相对较低,其杀虫谱广,触杀性强,在我国运用于蚊香、液体蚊香、气雾杀虫剂、电热蚊香片等多种制剂加工生产中[4],通过选择性作用于电压门控钠离子通道发挥作用[5]。既往研究认为四氟苯菊酯对哺乳动物的神经毒性相对较低,未发现对动物有急性中毒、致畸、致癌等现象[6]。四氟苯菊酯在哺乳动物体内的代谢产物主要通过尿液排出[7]。四氟苯菊酯人体中毒病例少有报道,本文报道的儿童因误服含四氟苯菊酯的电蚊香液,出现抽搐,合并肺损伤、消化系统症状、心肌损害,符合拟除虫菊酯类中毒的典型临床表现。目前四氟苯菊酯中毒尚无特异性解毒剂,参照既往拟除虫菊酯类农药中毒救治案例,救治核心在于迅速阻断毒物吸收、控制神经系统症状及支持器官功能[8]。早期可行洗胃减少胃肠道残留毒物的吸收。
拟除虫菊酯类杀虫剂可通过血脑屏障,具有亲脂特性,能改变神经细胞膜上钠离子通道电压门控特性,引起钠离子内流,延长动作电位去极化,导致神经细胞异常兴奋,这种神经生理改变强度与拟除虫菊酯类杀虫剂药物浓度密切相关[9],拟除虫菊酯类杀虫剂也能减少氯离子通道电流,通过改变γ-氨基丁酸门控的氯离子通道实现[10]。针对神经毒性表现,苯二氮-类药物如地西泮为首选抗惊厥药物,其通过增强GABA能神经传递,拮抗拟除虫菊酯的兴奋性神经毒性,显著降低抽搐发作频率及严重程度[11]。本病例中提到患儿抽搐2次,脑电图提示背景活动异常,神经元特异性烯醇化酶异常升高,因家属自身原因很遗憾未完善颅脑磁共振检查,但综合评估后考虑存在中毒性脑病,给予地西泮及水合氯醛镇静,应用甘露醇降低颅内压,甲泼尼龙减轻脑水肿,经治疗后无抽搐发作,复测脑电图恢复正常。
相关研究证实拟除虫菊酯类农药可引起肺损伤,损伤程度具有剂量依赖性,存在个体差异[12]。拟除虫菊酯类杀虫剂亦可通过钠离子通道改变破坏肺泡上皮渗透梯度,对肺泡毛细血管内皮造成损伤,增加毛细血管壁的通透性,引起支气管黏膜水肿,诱发超敏炎症反应导致肺水肿[13]。本患儿肺部影像学检查提示斑片状密度增高影,考虑为吸入性肺炎,患儿年龄小,发现误服蚊香液后立即出现咳嗽症状,蚊香液可直接吸入气道引起肺部损伤,患儿血气pH值7.26提示酸中毒,考虑为拟除虫菊酯类杀虫剂神经毒性引起惊厥发作导致代谢性酸中毒,对肺部的损伤可导致气体交换障碍加剧酸中毒。病程中呼吸急促、咳嗽、低氧血症,经过CPAP辅助呼吸、抗感染、雾化吸入等治疗,肺损伤逐步好转。
综上所述,拟除虫菊酯类杀虫剂虽属低毒类别,但其潜在致病风险不容忽视,尚无特异性解毒剂,本患者经过洗胃、呼吸支持、抗感染、保护脑及心脏等重要脏器功能等综合治疗,临床症状得以缓解。儿童作为特殊群体,意外摄入拟除虫菊酯类杀虫剂后可导致多系统损害,尤其以神经毒性、肺损伤最为突出,应对监护人进行宣传教育,避免儿童蚊香液意外暴露。
利益冲突 所有作者声明无利益冲突
| [1] | Lopes-Ferreira M, Farinha LRL, Costa YSO, et al. Pesticide-induced inflammation at a glance[J]. Toxics, 2023, 11(11): 896. DOI:10.3390/toxics11110896 |
| [2] | Oyovwi MO, Atere AD, Chimwuba P, et al. Implication of pyrethroid neurotoxicity for human health: a lesson from animal models[J]. Neurotox Res, 2024, 43(1): 1. DOI:10.1007/s12640-024-00723-1 |
| [3] | Wolfe J, Marsit C. Pyrethroid pesticide exposure and placental effects[J]. Mol Cell Endocrinol, 2023, 578: 112070. DOI:10.1016/j.mce.2023.112070 |
| [4] | Andreazza F, Valbon W, Dong K. Transfluthrin enhances odorant receptor-mediated spatial repellency in Aedes aegypti[J]. Pestic Biochem Physiol, 2023, 192: 105387. DOI:10.1016/j.pestbp.2023.105387 |
| [5] | Andreazza F, Valbon WR, Wang Q, et al. Sodium channel activation underlies transfluthrin repellency in Aedes aegypti[J]. PLoS Negl Trop Dis, 2021, 15(7): e0009546. DOI:10.1371/journal.pntd.0009546 |
| [6] | 周小柳, 霍天雄, 唐忠锋, 等. 四氟苯菊酯的合成与毒理学及生物学特征[J]. 中华卫生杀虫药械, 2008, 14(4): 246-249. |
| [7] | Yoshida T. Biomarkers for monitoring transfluthrin exposure: urinary excretion kinetics of transfluthrin metabolites in rats[J]. Environ Toxicol Pharmacol, 2014, 37(1): 103-109. DOI:10.1016/j.etap.2013.11.011 |
| [8] | Li ZQ, Wu XJ, Lv GM, et al. Paediatric lung injury due to accidental ingestion of meperfluthrin: a case report[J]. BMC Pediatr, 2022, 22(1): 43. DOI:10.1186/s12887-022-03117-4 |
| [9] | Bradberry SM, Cage SA, Proudfoot AT, et al. Poisoning due to pyrethroids[J]. Toxicol Rev, 2005, 24(2): 93-106. DOI:10.2165/00139709-200524020-00003 |
| [10] | Singh AK, Tiwari MN, Prakash O, et al. A current review of cypermethrin-induced neurotoxicity and nigrostriatal dopaminergic neurodegeneration[J]. Curr Neuropharmacol, 2012, 10(1): 64-71. DOI:10.2174/157015912799362779 |
| [11] | 中国医师协会急诊医师分会, 中国毒理学会中毒与救治专业委员会. 急性中毒诊断与治疗中国专家共识[J]. 中华急诊医学杂志, 2016, 25(11): 1361-1375. DOI:10.3760/cma.j.issn.1671-0282.2016.11.004 |
| [12] | Vorselaars ADM, van den Berg PM, Drent M. Severe pulmonary toxicity associated with inhalation of pyrethroid-based domestic insecticides (Bop/Sapolio): a case series and literature review[J]. Curr Opin Pulm Med, 2021, 27(4): 271-277. DOI:10.1097/MCP.0000000000000779 |
| [13] | Erdogan S, Handan Zeren E, Emre M, et al. Pulmonary effects of deltamethrin inhalation: an experimental study in rats[J]. Ecotoxicol Environ Saf, 2006, 63(2): 318-323. DOI:10.1016/j.ecoenv.2004.10.007 |
2026, Vol. 35



