产后溶血尿毒综合征(postpartum hemolytic uremic syndrome, PHUS)是指在妊娠结束后出现以溶血性贫血、急性肾功能衰竭、血小板减少为主要表现的综合征,常见于妊高症、产后出血等患者[1],但临床上脓毒症导致PHUS的病例罕见。本文报道了1例产后脓毒症引起的溶血尿毒综合症(hemolytic uremic syndrome, HUS),并复习国内外相关文献的研究进展。本病例报道已获得家属知情同意。
1 病例资料患者女,32岁,因“停经35+1周,发现胎停4 d,发热1 d”由当地医院转入吉林大学第一医院。患者曾于胎停后行水囊引产术,约72 h后分娩一死婴,产后30 min出现寒战、发热,体温最高39 ℃,伴血压血氧下降,给予紧急气管插管后转入本院。既往体健,否认高血压、糖尿病、过敏史及孕产史等。入院查体:体温37.8 ℃,脉搏120次/min,呼吸频率16次/min,血压108/83 mmHg(1 mmHg=0.133 kPa),外周血氧饱和度94%(气管插管连接球囊辅助通气)。意识清楚,双侧瞳孔等大同圆,对光反射存在;皮肤、巩膜黄染。听诊双下肺呼吸音粗糙,双肺底可闻及散在湿啰音,心率120次/min。腹部膨隆,全腹无明显压痛、反跳痛及肌紧张。阴道见血性分泌物,尿管引出酱油色尿液,双下肢轻度水肿,双侧病理反射阴性。
入院时实验室检查,血常规:白细胞48.39×109/L,血红蛋白62 g/L,血小板88×109/L;乳酸3.8 mmol/L;肝功:丙氨酸氨基转移酶正常,天门冬氨酸氨基转移酶288 U/L,总胆红素50.9 µmol/L,结合胆红素12.6 µmol/L。非结合胆红素38.3 µmol/L。尿素13.03 mmol/L,肌酐182.6 µmol/L;凝血常规:活化部分凝血活酶时间47.2 s,凝血酶原时间25.3 s,凝血酶原活动度32%,纤维蛋白原1.59 g/L;D-二聚体28.78 mg/L,降钙素原82.70 ng/mL;C反应蛋白136.52 mg/L;乳酸脱氢酶4 629 U/L(正常范围120~250 U/L);溶血试验:血浆游离血红蛋白测定20 000.0 mg/L(正常范围 < 40 mg/L),血清酸化溶血试验、抗人球蛋白试验阴性;抗核抗体、抗中性粒细胞胞浆抗体、抗心磷脂抗体阴性;ADAMTS13活性检测41%(70%~120%);入院后血生化指标变化见表 1。血涂片提示:球形红细胞5%,裂片红细胞 > 4%(图 1);血培养:大肠埃希菌。心脏彩超正常,头CT未见异常;肺部CT提示双肺少许炎症、双侧胸腔积液、双下肺不张;腹部CT提示少量腹腔积液。
| 日期 | 白细胞(×109/L) | 血红蛋白(g/L) | 血小板(×109/L) | 肌酐(µmol/L) | 总胆红素(µmol/L) | 非结合胆红素(µmol/L) | 降钙素原(ng/mL) | N末端脑钠肽前体(pg/mL) |
| 2023-01-31 | 50.70 | 63 | 66 | 231.4 | 68 | 46 | 82 | 47 000 |
| 2023-02-01 | 49.33 | 69 | 20 | 156.6 | 334 | 102 | > 100 | 25 700 |
| 2023-02-02 | 62.96 | 84 | 28 | 104.3 | 246 | 118 | 87 | 23 800 |
| 2023-02-03 | 65.84 | 81 | 28 | 119.5 | 111 | 56 | 49 | 16 200 |
| 2023-02-04 | 57.09 | 82 | 14 | 101.4 | 46 | 24 | 24 | 4 850 |
|
| 图 1 2023-02-01患者血细胞涂片 |
|
|
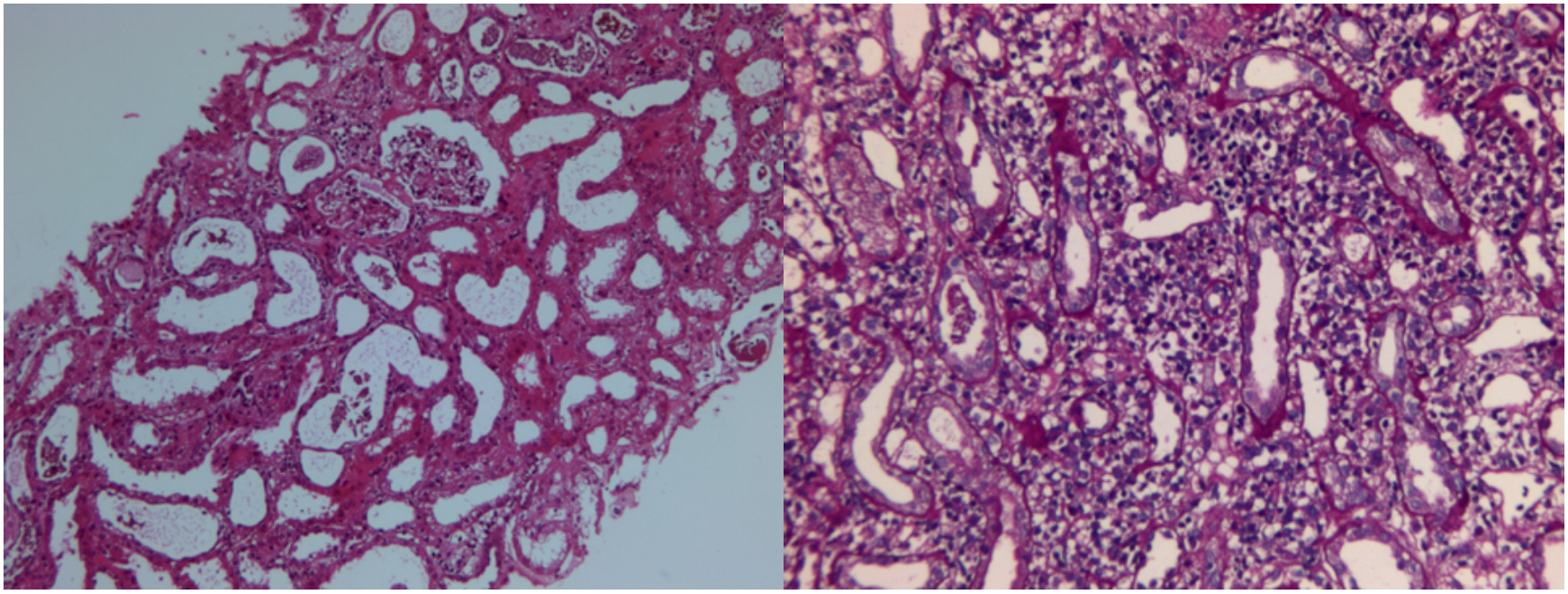
初步诊断:脓毒症(大肠埃希菌)、溶血尿毒综合征、死胎分娩术后。予以美罗培南1.0 g每8 h一次抗感染、有创呼吸机辅助通气、血液净化(血浆置换+血液滤过)治疗。因入院时存在急性肾损伤,持续无尿,氧合差,结合床头肺部彩超提示肺水肿,故给予持续血液滤过治疗。病程中患者意识清楚,休克、呼衰逐渐改善,很快撤离机械通气,血小板升至正常,血红蛋白恢复至90 g/L左右,胆红素水平明显下降。ICU治疗时间为13 d,待病情好转后转入肾内科间断血滤治疗,行肾穿刺取病理提示:符合急性肾小管间质肾病肾病(肾小管损伤伴间质性肾炎)(图 2),结合临床不排除伴恢复期血栓性微血管病肾损伤,给予口服醋酸泼尼松30 mg/d。住院期间肾功能逐渐好转,尿量增多,肌酐下降至正常后办理出院,出院后2个月复查肾功能正常,逐渐停用泼尼松。
|
| 图 2 2023-02-16患者肾脏活检(HE、PAS染色) |
|
|
HUS是一种血栓性微血管病,其特征是非免疫性溶血性贫血、肾功能损害和血小板下降,发病率低,临床少见;贫血本质上是严重的微血管病变引起机械性溶血,表现为外周血涂片存在红细胞碎片、高血清乳酸脱氢酶及游离血红蛋白。HUS分为经典型与不典型两种,典型HUS多发生在儿童,成人发病罕见[1],其机制与产志贺毒素的大肠埃希菌感染有关,感染后引发炎症反应,该毒素对内皮细胞、红细胞和血小板造成损害,导致弥漫性血管损伤引发肾功能不全,初始症状通常表现为上述症状及血性腹泻。非大肠杆菌引起的HUS不常见,称为非典型HUS,其发病机制缘于编码补体通路蛋白的基因突变,仅占所有疾病病例的5%~10%。它可能出现在所有年龄段,但在成年人中更常见,预后差,复发频繁,病死率高[2-3]。
PHUS主要在产后10周以内发生[4-5],多为非典型HUS,是由补体系统失调引起的,其机制与由编码补体调节蛋白或补体级联成分的基因变异和获得性抗体有关,过多的补体在细胞表面集聚和吸附,并形成能切割红细胞的机械性血栓,从而分裂细胞,造成溶血性贫血、血小板减少和终末器官的损伤,因为补体激活和免疫复合物沉积主要发生在肾内膜细胞,所以肾脏最常受累[6-7]。该患者初始诊断考虑非典型HUS,因补体C5抑制剂无法获取,紧急予以血浆置换[8](2次,每次血浆量约2 800 mL)。因实验室检查未回,难以排除免疫性溶血,予以联合糖皮质激素治疗,后溶血检查回报并排除免疫因素后停用。经抗感染及血液净化治疗,患者溶血尿毒综合征好转,病情稳定。
PHUS为急危重症,临床表现无特异性,早期难以鉴别诊治,尤其区分典型和非典型,需排除基因变异因素;而HELLP综合征、血栓性血小板减少性紫癜(thrombotic thrombocytopenic purpura, TTP)、弥散性血管内凝血(disseminated intravascular coagulation, DIC)均在产后发病,临床表现上都存在贫血、血小板下降和肾损伤。鉴别诊断如下:(1) HELLP综合征见于妊高症患者,分娩前后均可发病,以溶血性贫血、肝酶升高和血小板下降为临床特征,极少出现肾损伤[9],本例患者产检过程中无血压升高,产后以肾损伤、溶血为主要表现,血细胞三系明显减少,病情远较HELLP综合征更重。(2) TTP是一种由ADAMTS-13基因缺乏或者活性降低导致的血栓性微血管病,主要特征为神经系统症状、微血管病性溶血性贫血、消耗性血小板减少,肾功能不全及发热症状相对少见,因TTP患者存在ADAMTS-13基因突变或者自身抗体,故ADAMTS-13可作为诊断标志物,ADAMTS-13下降至10%以下具有诊断意义[10]。本例患者ADAMTS-13活性41%,全基因外显子测序未见ADAMTS-13基因突变,神经系统症状不明显,发热及肾功能不全更严重,临床可排除TTP。(3) DIC主要表现为多部位出血、难以纠正的休克、肝肾脑功能不全、微血管栓塞、溶血,本例患者无产后大出血,休克在入院后迅速纠正,与DIC症状不符合。
对于PHUS的分型,非典型溶血尿毒综合征在以往报道中多见于妊高症、胎盘早剥、产后出血患者,感染性因素所致非典型HUS迄今少见报道。补体系统参与人体免疫防御,妊娠期会上调补体抑制因子以保护胎儿免受自身免疫的攻击。如果本身补体调节异常,代偿不足,容易出现HUS[11],且妊娠期及产后妇女血液处于高凝状态,纤溶能力下降,HUS的病发率增高,PHUS容易复发,需要应用依库珠单抗等补体C5抑制剂治疗。感染导致HUS病例报道较少,Lee等[12]报道了一位老年女性因乙状结肠梗阻术后出现急性肾损伤、血小板下降及溶血性贫血,行肾脏活检、ADAMTS-13活性筛查后确诊HUS,其机制尚不明确。Battista等[13]在因肺炎链球菌所致HUS的2岁儿童血液中分离出肺炎链球菌细胞外囊泡,证明其可以触发单核细胞中的细胞因子和趋化因子的产生,从而触发HUS。本例患者既往无高血压病史,孕期产检血常规及彩超正常,近期无腹泻,分娩过程中无大出血。但该患者宫内死胎水囊引产,产程很长,产后立即出现寒战高热、血压血氧下降,降钙素原显著增高,急查血培养G-菌阳性报警,后回报为大肠埃希菌,考虑存在分娩过程中生殖道感染并血流感染。该患者病程中检测补体水平正常偏低,全外显子测序结果也排除了与补体系统相关的基因表达异常,故非典型HUS的可能性较低。综上,临床诊断该患者为大肠埃希菌感染所致的典型HUS,随访一年,患者未行特殊治疗,预后良好。该病例不足之处在于细菌培养未鉴定是否为产志贺毒素大肠埃希菌。
PHUS为急危重症,一旦确诊,应给予综合性治疗,包括抗感染、血液净化(血浆置换+血液滤过)、营养支持、输注血浆等;本患者诊断为典型HUS,治疗方式以抗感染及对症治疗为主。目前抗生素应用存在争议,国外学者建议谨慎使用抗生素,因抗生素可破坏细菌引起大量毒素释放,引起肠道内正常菌群失调,加重疾病症状,而在国内通常建议早期启动抗感染方案,抗生素选用时需考虑敏感性、无肾毒性[14]。本例患者血培养提示大肠埃希菌,按照脓毒症诊治原则给予抗感染治疗,病程中高热症状好转,白细胞值及降钙素原逐渐下降至正常,血红蛋白、血小板逐渐升至正常,考虑抗感染方案有效。输注血浆是目前治疗HUS的最有效方法,新鲜冰冻血浆可以去除血小板聚集物质,并且改善凝血状态;血浆置换可以清除血液中血液循环中的免疫复合物、补体及毒性物质,减轻靶器官受损程度,在志贺毒素导致的典型HUS中不常规使用[10]。
PHUS是产科罕见的严重并发症,病情进展迅速,应对其特征性表现提高警惕,确诊后应尽早启动血浆置换等治疗,早期诊断并及时给予适当治疗,并联合多学科团队诊治,对防止靶器官损害和改善患者预后有重要作用。
利益冲突 所有作者声明无利益冲突
| [1] | Fakhouri F, Zuber J, Frémeaux-Bacchi V, et al. Haemolytic uraemic syndrome[J]. Lancet, 2017, 390(10095): 681-696. DOI:10.1016/s0140-6736(17)30062-4 |
| [2] | Noris M, Remuzzi G. Hemolytic uremic syndrome. J Am Soc Nephrol[J]. 2005, 16(4): 1035-1050. DOI: 10.1681/ASN.2004100861. |
| [3] | Mirza M, Sadiq N, Aye C. Pregnancy-associated atypical hemolytic uremic syndrome and life-long kidney failure[J]. Cureus, 2022, 14(6): e25655. DOI:10.7759/cureus.25655 |
| [4] | Fremeaux-Bacchi V, Fakhouri F, Garnier A, et al. Genetics and outcome of atypical hemolytic uremic syndrome: a nationwide French series comparing children and adults[J]. Clin J Am Soc Nephrol, 2013, 8(4): 554-562. DOI:10.2215/CJN.04760512 |
| [5] | Dashe JS, Ramin SM, Cunningham FG. The long-term consequences of thrombotic microangiopathy (thrombotic thrombocytopenic Purpura and hemolytic uremic syndrome) in pregnancy[J]. Obstet Gynecol, 1998, 91(5 Pt 1): 662-668. DOI:10.1016/s0029-7844(98)00031-3 |
| [6] | Greenbaum LA, fila M, ardissino G, et al. eculizumab is a safe and effective treatment in pediatric patients with atypical hemolytic uremic syndrome[J]. Kidney Int, 2016, 89(3): 701-711. DOI:10.1016/j.kint.2015.11.026 |
| [7] | Sinha A, Gulati A, Saini S, et al. Prompt plasma exchanges and immunosuppressive treatment improves the outcomes of anti-factor H autoantibody-associated hemolytic uremic syndrome in children[J]. Kidney Int, 2014, 85(5): 1151-1160. DOI:10.1038/ki.2013.373 |
| [8] | Jokiranta TS. HUS and atypical HUS[J]. Blood, 2017, 129(21): 2847-2856. DOI:10.1182/blood-2016-11-709865 |
| [9] | 中华医学会妇产科学分会妊娠期高血压疾病学组. 妊娠期高血压疾病诊治指南(2020)[J]. 中华妇产科杂志, 2020, 55(04): 227-238. DOI:10.3760/cma.j.cn112141-20200114-00039 |
| [10] | 刘小荣, 沈颖, 樊剑锋, 等. 中国儿童非典型溶血尿毒综合征诊治规范专家共识[J]. 中国实用儿科杂志, 2017, 32(6): 401-404. DOI:10.19538/j.ek2017060601 |
| [11] | 赫英东, 于峰. 补体检测在妊娠相关血栓性微血管病诊治中的价值[J]. 中华检验医学杂志, 2019, 42(12): 986-989. DOI:10.3760/cma.j.issn.1009-9158.2019.12.002 |
| [12] | Lee JW, Won NH, Cho E, et al. Postoperative hemolytic uremic syndrome with renal cortical necrosis following laparoscopic hemicolectomy[J]. Ren Fail, 2013, 35(5): 725-728. DOI:10.3109/0886022X.2013.780978 |
| [13] | Battista M, Hoffmann B, Bachelot Y, et al. The role of pneumococcal extracellular vesicles on the pathophysiology of the kidney disease hemolytic uremic syndrome[J]. mSphere, 2023, 8(4): e0014223. DOI:10.1128/msphere.00142-23 |
| [14] | 刘小荣. 溶血尿毒综合征的诊治进展[J]. 中华肾病研究电子杂志, 2016, 5(2): 61-64. DOI:10.3877/cma.j.issn.2095-3216.2016.02.004 |
2025, Vol. 34



