主动脉瓣狭窄(aortic stenosis, AS)是老年人常见的原发性瓣膜病之一, 外科手术风险高。经导管主动脉瓣置换术(transcatheter aortic valve replacement,TAVR)是目前最优的微创化手术策略, 但高危主动脉瓣疾病患者术中仍会有循环崩溃的可能。体外膜肺氧合(extra corporeal membranous oxygenator, ECMO)是挽救高危主动脉瓣狭窄患者TAVR术中及术后血流动力学不稳定的有效策略。查阅文献,关于主动脉瓣重度狭窄合并冠心病继发心脏骤停患者的成功治疗报道并不多见,亦无相关指南,本文现对一相关病例进行报道,旨在治疗思路上为广大同仁提供参考。
1 资料与方法患者男,78岁,既往有高血压病史10余年,有主动脉瓣狭窄病史,未治疗。2023-10-02 19:00患者无明显诱因下在家中出现呼吸困难,无胸痛,无背痛,21:00患者由120车送至本院抢救中心。来院时患者神志模糊,呼吸急促,SPO2 34%,即予气管插管,21:06患者出现心脏骤停,立即予心肺复苏,21:30启动ECMO团队。22:04 ECMO机器顺利运转。查体:血压82/60 mmHg,心率87次/min,呼吸28次/min,血氧饱和度100%,体温36.3℃。经口气管插管接呼吸机,ECMO转速3 100 r/min,流量3.1 L/min。左侧瞳孔直径1.0 mm,对光反射消失,右侧瞳孔直径1.0 mm,对光反射消失,心音微弱,心律齐,两肺呼吸音清,未闻及干湿性啰音,腹平软,压痛、反跳痛无法配合,肝脾肋下未及,双下肢无浮肿。双下肢ECMO管路留置在位。抢救室辅助检查结果如下:2023-10-02血常规+CRP:WBC 17.5×109/L,Hb175 g/L,PLT 204×109/L,CRP 4.99 mg/L。血生化未见明显异常。cTnT 0.031 μg/L,D二聚体824 ng/mL,BNP 3355.8 pg/mL。血气分析:pH 6.788,PCO2 67 mmHg(1 mmHg=0.133 kPa),PO2 59.8 mmHg,钾3.7 mmol/L,钠136.0 mmol/L,乳酸16.0 mmol/L。肌钙蛋白T 0.031 μg/L,床边心超:左室肥厚,左房增大,主动脉瓣钙化合并重度狭窄(最大开放面积约0.31 cm2),心包少量积液。心电图:加速的室性逸博心律,ST-T改变(V1-V4导联ST段呈水平抬高,I、V5、V6导联ST段呈水平型、下斜型压低0.05~0.5 mV)。当天患者转入ICU。2023-10-07患者出现无尿,予CRRT替代治疗。经院内外专家会诊后考虑患者本次心脏骤停原因为主动脉瓣重度狭窄,故于2023-10-08全麻下行“单根导管的冠脉造影+经导管主动脉瓣置入术(TAVR)”,术中见左主干、左回旋支无狭窄,左前降支中段85%狭窄,远段50%狭窄,主动脉瓣重度狭窄,置入启明26(瓣口)×50(支架长度)mm自膨式瓣膜输送系统,手术过程顺利。术后复查心超,EF45%,10.9撤离ECMO。完善CT(见图 1、图 2)。2023-10-12予气管切开。术后患者出现少量瓣周漏,同时存在胆囊炎、肺部感染、链球菌性败血症、贫血、低蛋白血症、血小板减少症,在补充红细胞、血浆、白蛋白、人免疫球蛋白的基础上,予积极抗感染、抗凝、抗血小板等药物治疗、康复治疗,2023-11-17予停CRRT。2023-11-22予顺利脱机。2023-11-25患者神志由模糊转清醒。2023-12-15患者转入心内科。2023-12-29予局麻下行“药物洗脱冠状动脉支架置入术(PCI)”,术中所见同前,手术过程顺利。术后患者生命体征稳定,后转至康复病房行康复治疗。2024-01-30患者康复出院。
|
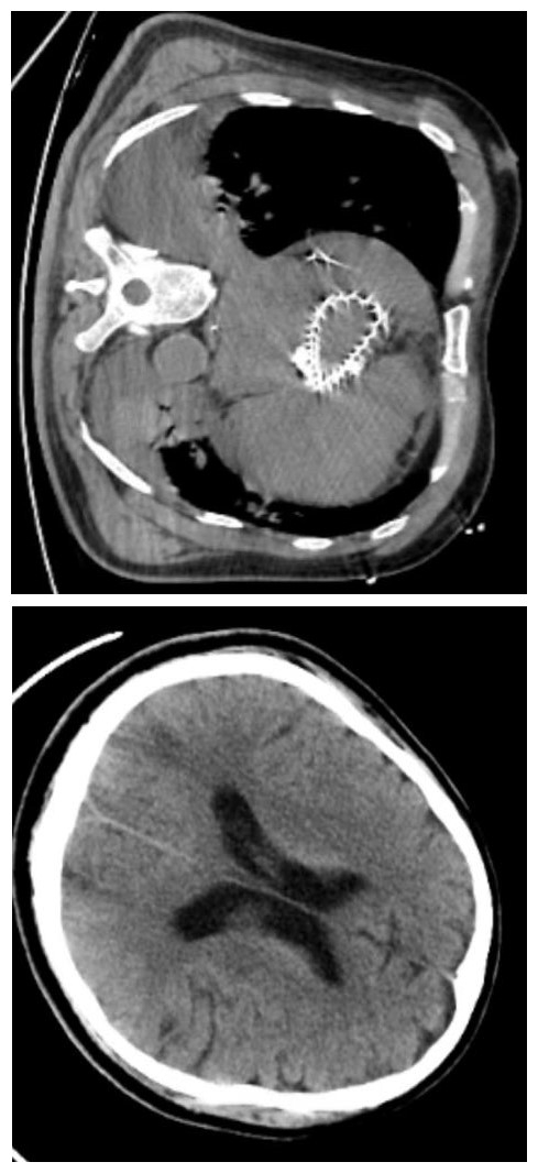
| 图 1 10月10日患者术后肺部及头颅CT |
|
|
|
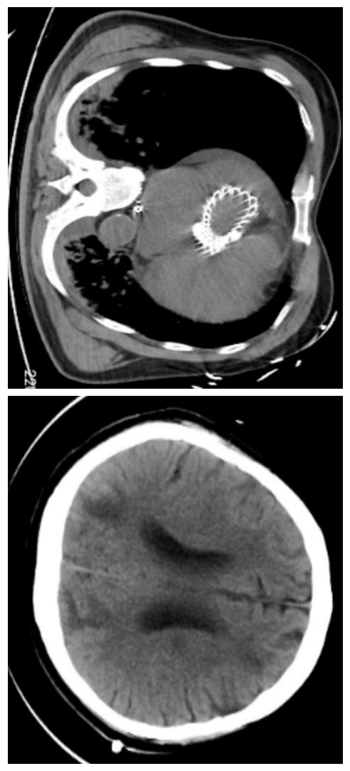
| 图 2 10月26日患者治疗后复查肺部及头颅CT |
|
|
总结本案例成功的经验,笔者认为离不开以下几点:①早期启动ECPR的果断决策。ECMO技术现已在心脏外科手术、暴发性心肌炎、心肌梗死、急性呼吸窘迫综合征以及心肺器官移植等多个领域开展,并取得了一定的效果[1],尤其在心脏骤停、心源性休克等急危重症的急救上,体外心肺复苏(extracorporeal cardiopulmonary resuscitation,ECPR)已成为重要的救治手段[2]。2018年浙江省在国内率先正式提出“复苏中心”的概念,2023年的制订《复苏中心建设浙江共识》[3],旨在规范、优化救治流程,争取最佳的复苏结局。ECPR在国内尚未普遍开展,最主要原因是其相关并发症难以避免,且对时效性、操作人员能力、家庭经济支持等要求很高。该患者年纪 > 75岁,并不符合我国专家共识里推荐的适应证,但家属救治意愿非常强烈且积极配合,高龄不再是ECPR的绝对禁忌,当ECPR可能对难治性CA获益并且低流量血流灌注即将造成更严重后果时,ECPR可能是唯一的救治方案[4],有报道87岁心搏骤停患者经ECPR治疗后存活[5]。本例患者经过10余分钟的积极CCPR仍未恢复有效自主循环,根据共识[6],属于循环崩溃高风险TAVR,优选ECMO符合共识推荐。②在ECMO的保障下争取时机快速明确病因。患者既往有主动脉瓣狭窄病史,结合其临床表现及各项辅助检查,考虑患者心脏停搏为主动脉瓣重度狭窄引起心力衰竭、呼吸衰竭从而造成缺氧所致。主动脉瓣狭窄(AS)传统的根治方法是外科主动脉瓣置换术,但该手术创伤大,对于有多种并发症、尤其是心力衰竭终末期的老年人风险高,且有30%~40%的重度AS患者无法接受外科主动脉瓣置换术治疗[7];对于药物保守干预的患者,2年内生存率仍显著下降,病死率达50%[8]。因此,寻找一种创伤小、无需开胸、恢复快、中远期疗效良好的治疗方式成为了全球关注的热点。自2002年法国Cribier等[9]为1例合并严重AS伴心源性休克、伴有慢性疾病的患者实施全球首例TAVR术成功以来,TAVR已成为老年主动脉瓣狭窄患者不能耐受外科手术的替代治疗手段。2021年欧洲心脏病学会和欧洲心胸外科协会指南提出,对于高龄(≥75岁)和高风险患者推荐使用TAVR治疗(Ⅰ类推荐)[10],与外科手术相比能够减少1年大出血事件、延长生存时间[11]。
我国TAVR发展相对缓慢,2010年葛均波[12]教授等,为1例75岁的男性重度AS患者行国内首例TAVR术。经过10余年探索与发展,我国TAVR进入快速、全面发展阶段[13]。③在ECMO的支持下实施TAVR联合PCI的治疗方案。主动脉瓣狭窄患者常合并存在冠心病,TAVR联合经皮冠状动脉介入治疗(PCI)的组合方式已成为该类患者的治疗方式之一[14]。2021欧洲心脏瓣膜病管理指南建议,TAVR患者合并冠状动脉近端狭窄>70%时可采用PCI方式进行干预[14]。有研究指出行TAVR联合PCI近中期效果良好,分期或同期手术需根据患者情况个体化选择[15],目前有“分站式”或“一站式”治疗策略。安贞医院率先采用“All in One”技术应用于一站式TAVR联合PCI术中,取得了良好的效果[16]。但目前关于TAVR联合PCI的最佳时机仍尚不明确[17]。本院作为县级医院,医疗资源有限,所幸第一时间联系到上级优秀的专家进行会诊,考虑到老年患者对手术的承受能力,最终优化治疗方案,使得患者重获新生。
随着我国人口老龄化的加剧,主动脉瓣狭窄的发病率越来越高,且多合并冠心病,严重威胁老年人的健康与预期寿命。TAVR是目前瓣膜性心脏病介入领域最为热门与成熟的技术,TAVR联合PCI的组合治疗方式正展现出其优越性。以ECMO技术为主导的ECPR,亦是心肺复苏领域临床和科研的热点,桥接传统心肺复苏,大大提高了患者生存率,而ECPR联合其他急救技术的集束化治疗可能有助于改善患者预后[18-19]。对于已出现循环崩溃甚至心脏骤停的主动脉瓣重度狭窄合并冠心病患者,在急诊ECPR的基础上使用TAVR联合PCI可能是目前最佳的治疗方式,未来需要更多的临床证据支持,不断实践,不断改进,为加快推进复苏中心的规范化建设添砖加瓦,为广大患者的生命健康保驾护航。
利益冲突 所有作者均声明无利益冲突
作者贡献声明 李蓓蓓:临床实践、论文撰写;林建赟:数据收集及整理、文献查阅
| [1] | 陈凯, 唐汉韡, 侯剑峰, 等. 体外膜肺氧合在心脏外科领域的应用[J]. 中国循环杂志, 2019, 34(12): 1244-1248. DOI:10.3969/j.issn.1000-3614.2019.12.020 |
| [2] | 张斌, 金文扬, 刘宏, 等. 浙江省急诊科开展体外膜肺氧合技术情况的调查研究[J]. 中国急救医学, 2021, 41(12): 1045-1050. DOI:10.3969/j.issn.1002-1949.2021.12.007 |
| [3] | 浙江省急诊医学质量控制中心, 浙江省院前医疗急救质量控制中心, 浙江省心血管疾病介入诊疗质控中心, 等. 复苏中心建设浙江共识[J]. 中华急诊医学杂志, 2023, 32(4): 455-463. DOI:10.3760/cma.j.issn.1671-0282.2023.04.003 |
| [4] | Lorusso R, Cariou A, Flaatten H. The dilemma of patient age in decision-making for extracorporeal life support in cardiopulmonary resuscitation[J]. Intensive Care Med, 2019, 45(4): 542-544. DOI:10.1007/s00134-018-5495-z |
| [5] | Ahn C, Kim W, Cho Y, et al. Efficacy of extracorporeal cardiopulmonary resuscitation compared to conventional cardiopulmonary resuscitation for adult cardiac arrest patients: a systematic review and meta-analysis[J]. Sci Rep, 2016, 6: 34208. DOI:10.1038/srep34208 |
| [6] | 中国医疗保健国际交流促进会胸痛学分会, 山东省医学会心肺复苏与体外生命支持多学科联合委员会, 《体外膜肺氧合辅助循环崩溃高风险经导管主动脉瓣置换术技术要点专家共识》专家组, 等. 体外膜肺氧合辅助循环崩溃高风险经导管主动脉瓣置换术技术要点专家共识[J]. 中国介入心脏病学杂志, 2023, 31(11): 810-819. DOI:10.3969/j.issn.1004-8812.2023.11.002 |
| [7] | 王林宁, 王立成, 李少珂, 等. 经心尖与经股动脉行主动脉瓣置换术治疗重度主动脉瓣狭窄的疗效比较[J]. 黑龙江医学, 2020, 44(1): 67-69. DOI:10.3969/j.issn.1004-5775.2020.01.027 |
| [8] | Van Mieghem NM, Deeb GM, Søndergaard L, et al. Self-expanding transcatheter vs surgical aortic valve replacement in intermediate-risk patients: 5-year outcomes of the SURTAVI randomized clinical trial[J]. JAMA Cardiol, 2022, 7(10): 1000-1008. DOI:10.1001/jamacardio.2022.2695 |
| [9] | Cribier A, Eltchaninoff H, Bash A, et al. Percutaneous transcatheter implantation of an aortic valve prosthesis for calcific aortic stenosis: first human case description[J]. Circulation, 2002, 106(24): 3006-3008. DOI:10.1161/01.cir.0000047200.36165.b8 |
| [10] | Vahanian A, Beyersdorf F, Praz F, et al. 2021 ESC/EACTS guidelines for the management of valvular heart disease: developed by the task force for the management of valvular heart disease of the European society of cardiology (ESC) and the European Association for Cardio-Thoracic Surgery (EACTS)[J]. Rev Esp Cardiol, 2022, 75(6): 524. DOI:10.1016/j.rec.2022.05.006 |
| [11] | UK TAVI Trial Investigators. Effect of transcatheter aortic valve implantation vs surgical aortic valve replacement on all-cause mortality in patients with aortic stenosis: a randomized clinical trial[J]. JAMA, 2022, 327(19): 1875-1887. DOI:10.1001/jama.2022.5776 |
| [12] | 葛均波, 周达新, 潘文志, 等. 经皮主动脉瓣植入术一例及其操作要点[J]. 中国介入心脏病学杂志, 2010, 18(5): 243-246. DOI:10.3969/j.issn.1004-8812.2010.05.001 |
| [13] | 中国医师协会心血管内科医师分会结构性心脏病专业委员会. 经导管主动脉瓣置换术中国专家共识(2020更新版)[J]. 中国介入心脏病学杂志, 2020, 28(6): 301-309. DOI:10.3969/j.issn.1004-8812.2020.06.001 |
| [14] | Vahanian A, Beyersdorf F, Praz F, et al. 2021 ESC/EACTS Guidelines for the management of valvular heart disease[J]. Eur Heart J, 2022, 43(7): 561-632. DOI:10.1093/eurheartj/ehab395 |
| [15] | 赵建明, 李峰, 张华, 等. 主动脉瓣疾病合并冠心病患者行经导管主动脉瓣置换术联合经皮冠状动脉介入治疗效果分析[J]. 中华实用诊断与治疗杂志, 2023, 37(12): 1200-1204. DOI:10.13507/j.issn.1674-3474.2023.12.003 |
| [16] | 宋光远, 刘新民, 姚晶, 等. "All in One" 技术在"一站式" 经导管主动脉瓣置换术联合经皮冠状动脉介入治疗术中的应用[J]. 中国介入心脏病学杂志, 2023, 31(2): 111-115. DOI:10.3969/j.issn.1004-8812.2023.02.005 |
| [17] | Patterson T, Clayton T, Dodd M, et al. ACTIVATION (Percut Aneous Coronary in Tervention prior to transcatheter aortic VAlve implantaTION). A Randomized Clinical Trial[J]. JACC Cardiovasc Interv, 2021, 14(18): 1965-1974. DOI:10.1016/j.jcin.2021.06.041 |
| [18] | 中华医学会急诊医学分会复苏学组, 中国医药教育协会急诊专业委员会. 成人体外心肺复苏专家共识更新(2023版)[J]. 中华急诊医学杂志, 2023, 32(3): 298-304. DOI:10.3760/cma.j.issn.1671-0282.2023.03.005 |
| [19] | 陈婧, 姚杨, 苗继荣, 等. 静脉-动脉体外膜肺氧合联合主动脉内球囊反搏对心源性疾病患者病死率的影响: Meta分析[J]. 中华危重症医学杂志(电子版), 2023, 16(01): 48-59. DOI:10.3877/cma.j.issn.1674-6880.2023.01.009 |
2024, Vol. 33



