中华急诊医学杂志  2024, Vol. 33 Issue (7): 1037-1038   DOI: 10.3760/cma.j.issn.1671-0282.2024.07.026
永存左上腔静脉导致反复脑梗死1例
王权鹏 , 周祎 , 张秋灵     
南京鼓楼医院(南京大学医学院附属鼓楼医院)急诊科,南京 210008

脑梗死是常见的一种脑血管疾病,大部分脑梗死为动脉粥样硬化导致,少部分为房颤导致左心耳血栓脱落等心源性栓塞。先天性心脏病患者比普通人群更容易发生脑梗死[1]。永存左上腔静脉是一种先天血管变异,绝大部分汇入冠状静脉窦,少部分汇入左心房,导致右向左分流[2-3],因此有发生反向栓塞的风险。本院2023年收治1例反复脑梗死病例,临床检查后发现左上腔静脉汇入左心房,考虑反向栓塞后脑梗死。

1 病例资料

54岁男性,因“言语不清2 d”入院。患者2 d前无明显诱因出现言语不清,双眼右侧凝视,有饮水呛咳,无肢体乏力。外院头颅CT提示脑梗死;心电图提示窦性心律,QT间期延长。后转至我院急诊,完善头颅血管增强CTA(computed tomography angiography, CTA)及灌注CTP(CT perfusion, CTP),CTA提示左侧颈内动脉眼动脉段钙化斑块,管腔轻度狭窄,两侧大脑前动脉左共干;CTP提示两侧额叶脑组织处于缺血状态,右侧额叶为著。急诊拟“脑梗死”收入住院。既往有高血压、陈旧性脑梗死病史(2022年12月和2023年2月)。

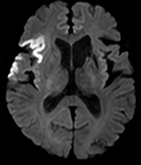
入院查体:神志清,精神一般,言语不清,双侧额纹对称,双侧瞳孔等大等圆,直径2.5 mm,对光反射灵敏,双侧鼻唇沟对称,口角左偏,左侧肢体肌力正常,右侧肢体肌力4级,指鼻试验阴性,生理反射存在,病理反射未引出,美国国立卫生研究院卒中量表NIHSS评分(National Institute of Health stroke scale, NIHSS)2分。入院诊断为急性脑梗死、高血压病3级(极高危)、陈旧性脑梗死。给予以阿司匹林联合氯吡格雷抗血小板,阿托伐他汀降脂稳定斑块,申捷营养神经等对症支持治疗。入院后进行头颅磁共振检查,提示右侧额顶颞叶、岛叶急性脑梗死,双侧大脑前动脉共左干,见图 1。经胸超声心动图提示:左心房增大,二尖瓣、三尖瓣轻度反流。颈动脉超声提示:双侧颈动脉内膜增厚伴左侧斑块形成(狭窄 < 50%)。椎动脉超声提示:声像图及多普勒血流频谱未见异常。自身抗体阴性。发泡试验结果为:强阳性,右向左分流(固有型,4级)。

右侧额顶颞叶、岛叶急性脑梗死 图 1 患者头颅磁共振DWI

考虑患者发泡试验阳性,为排除房间隔分流,经食道超声心动图:左心房增大,左心房及左心耳内未探及明显团块回声,左心耳狭小,右心房正常,右心房及右心耳未探及明显团块回声,左心房与左侧肺静脉交通处膨大,房间隔未见异常分流。为进一步明确诊断,行左心房CT三维重建(肺静脉+左心耳)检查,半奇静脉曲张,纵隔及胃底多发曲张静脉,与左上腔静脉汇成一支,共同汇入左心房(近右上肺静脉汇入处),见图 2白色箭头。考虑患者永存左上腔静脉分流至左心房,导致反向栓塞脑梗死,联系心胸外科会诊后患者表示选择内科保守治疗。

图 2 患者左心房及肺静脉CT三维重建(白色箭头)
2 讨论

心源性脑梗死常见病因为房颤后左心耳血栓、左心室附壁血栓脱落导致脑栓塞。房颤和心脏血栓可通过心电图和经食道超声心动图诊断。前两次脑梗死未明确病因,同时心电图及经胸超声心动图未见特异性改变,因此容易漏诊。发泡试验在脑梗死中应用广泛,主要用于诊断卵圆孔未闭,肺动静脉瘘[4]。该患者发泡试验阳性,考虑有右向左分流。

患者发泡试验分流量大,经食道超声心动图排除卵圆孔未闭,左心房CT三维重建排除肺动静脉瘘,后明确为永存左上腔静脉汇入左心房。Park等[5]报道通过左肘静脉诊断筛查出一例永存左上腔静脉汇入左心房导致反向栓塞。永存左上腔静脉是常见的血管变异,约占人群的0.3%~0.5%[6]。永存左上腔静脉绝大部分汇入冠状静脉窦,通常无症状,部分可合并房间隔缺损[7]、部分汇入肺静脉[8]

此患者永存上腔静脉汇入左心房,导致右向左分流。该患者多次脑梗死发作,结合经食管超声心动图未见血栓、增强CT提示半奇静脉曲张,纵隔及胃底多发曲张静脉,不排除迂曲血管形成后局部血栓形成脱落导致反向栓塞。Hutyra等[9]报道1例永存左上腔静脉汇入左心房脑梗死后予弹簧圈封堵治疗,随访18个月后未再发作脑梗死。该患者拒绝行手术治疗,予以内科保守治疗。

对于反复发作脑梗死,需要进一步检查有无右向左反向反流,发泡试验是筛查方法。发泡试验主要应用在卵圆孔未闭和肺动静脉瘘,本文提示永存左上腔静脉汇入左心房也是发泡试验阳性的少见病因。

利益冲突  所有作者声明无利益冲突

参考文献
[1] Lanz J, Brophy JM, Therrien J, et al. Stroke in adults with congenital heart disease: incidence, cumulative risk, and predictors[J]. Circulation, 2015, 132(25): 2385-2394. DOI:10.1161/CIRCULATIONAHA.115.011241
[2] Tyrak KW, Hołda J, Hołda MK, et al. Persistent left superior vena cava[J]. Cardiovasc J Afr, 2017, 28(3): e1-e4. DOI: 10.5830/cvja-2016-084.
[3] Gupta R, Pearson A. Diagnosis of persistent left superior vena cava draining directly into the left atrium[J]. N Am J Med Sci, 2013, 5(8): 496-497. DOI:10.4103/1947-2714.117328
[4] Chen L, Yang Y, Tang L, Zhou M, He L. Embolic stroke associated with a pulmonary arteriovenous fistula: an unignorable rare causes of stroke[J]. Neurologist, 2023, 28(3): 180-183. DOI:10.1097/NRL.0000000000000465
[5] Park CJ, Upadhya B, Pu M, et al. Diagnosis of persistent left superior vena Cava: lessons learned from a recurrent stroke case[J]. CASE, 2020, 4(5): 320-323. DOI:10.1016/j.case.2020.05.019
[6] Povoski SP, Khabiri H. Persistent left superior vena cava: review of the literature, clinical implications, and relevance of alterations in thoracic central venous anatomy as pertaining to the general principles of central venous access device placement and venography in cancer patients[J]. World J Surg Oncol, 2011, 9: 173. DOI:10.1186/1477-7819-9-173
[7] Buirski G, Jordan SC, Joffe HS, et al. Superior vena caval abnormalities: their occurrence rate, associated cardiac abnormalities and angiographic classification in a paediatric population with congenital heart disease[J]. Clin Radiol, 1986, 37(2): 131-138. DOI:10.1016/s0009-9260(86)80382-8
[8] Kong PK, Ahmad F. Unroofed coronary sinus and persistent left superior vena cava[J]. Eur J Echocardiogr, 2007, 8(5): 398-401. DOI:10.1016/j.euje.2006.06.004
[9] Hutyra M, Skala T, Sanak D, et al. Persistent left superior vena cava connected through the left upper pulmonary vein to the left atrium: an unusual pathway for paradoxical embolization and a rare cause of recurrent transient ischaemic attack[J]. Eur J Echocardiogr, 2010, 11(9): E35. DOI:10.1093/ejechocard/jeq079